TIS显微相机助力於病理影像数字化
由 TIS Marketing 于 2021年1月14日 发表。
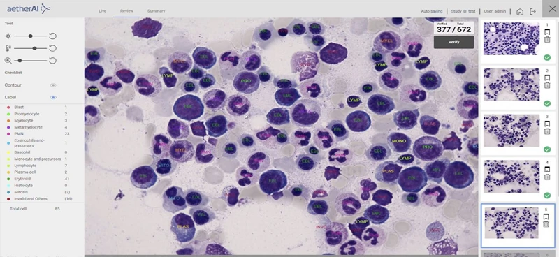
对于许多严重的血液疾病,例如白血病、多发性骨髓瘤和淋巴瘤,骨髓涂片中血液细胞的分类计数是诊断血液疾病的首要关键任务。 当前,这些观察骨髓细胞型态评估仍由病理学家与训练有素的医检师以手动分类计数方式进行,然而,执行这些技术的人员需要高度的专注力与精确度。 诸如压力、疲劳、分心和训练水准等"人为因素",容易造成检测的错误解读,或者科学家们称之为"操作员之间的操作差异"。 为了提高血液医疗诊断的准确性和效率,aetherAI云象科技开发了Microscope x Hema一个完整的数字病理系统,其借由The Imaging Source的 USB 3.0彩色显微相机 产生数字影像,并采用深度学习技术进行处理。
借由深度学习进行细胞分类
为了完善地训练系统的卷积神经网路( CNN),aetherAI与台大医院合作开发了世界首创用於骨髓涂片的分类计数AI模型。 此模型由500,000颗细胞的骨髓涂片样本训练而建立成一巨大的标注资料库。 Microscope x Hema 的嵌入式解决方案包括支持AI显微镜控制软件、用於分类计数的AI模型以及支持AI推论的专用硬体。 当使用标准光学显微镜采集的细胞影像,往往因为含带著复杂的背景而不利於有效地细胞分析,而影像质量也会受到模糊强度、杂讯等因素的影响,在不同成像条件也会导致影像亮度和色调的差异。 具备2000万像素的 DFK 33UX183显微相机 以高灵敏度的CMOS传感器,提供低噪声影像(高信噪比),其影像预处理可以滤除视觉杂讯,从而增强影像边缘与轮廓,并突出细节、减少影像模糊。 Microscope x Hema 的影像演算法从影像中提取特征,接着,设置参数例如形状、轮廓、不规则碎片、颜色和纹理质地等。一旦系统对样本中的细胞进行分类和计数,工作流程即告完成。
借由减轻医疗保健专业人员的负担,aetherAI 致力于 "提供数字病理和人工智慧诊断支援的解决方案",进而提高医疗诊断品质。 公司创始人Joe Yeh博士表示:"AI革命将实现数字医学影像的终极价值,并将医疗保健推向新的高度。"
