显微镜用相机:实际测试(显示在屏幕和目镜的影像)
由 TIS Marketing 于 2016年8月19日 发表。
本篇原稿发布于 2016 年 1 月的 Mikroskopie,这篇文章是由 J. Piper 和 M. Torzewski撰写。 原文是由 Ken Liao 分篇翻译成中文: 1、 2、 3、 4、 5、 6、 7、 8、 9、 10 和 11。
实际测试
屏幕影像
根据所有测试结果显示,适当地调整相机和装置在双目观察管目镜头上的目镜(目镜筒径:30mm)可以确保每座显微镜可将可用的,没有晕影的,且均匀照明的影像显示在屏幕上。在进行演示的情况时,分辨率的最佳选择是IC Capture或 IC Fullscreen Presenter以30 FPS提供平滑且完整的影像,且正常速度下调整 stage 也不会产生模糊影像。在缩放因子为1.0情况下,屏幕影像会出现圆形划分遮住周围影像,但如适当地调整影像焦距,就可以看到没有暗角的完整影像产生(图 6)。

相机目镜影像
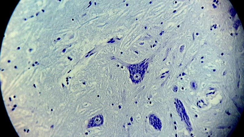
确切来说,我们测试的相机是装在Leitz、Leica和Carl Zeiss Jena 所制造大视野显微镜的内建目镜上。然而,这些显微镜的内建目镜所产生影像的轮廓清晰度都不是很好。值得注意的是当无限校正的平场物镜搭配完全校正的中间图像做测试(例如:Leica DMLB显微镜)时,Leica原有目镜和相机原有目镜的平面差别就可以直接看出:用同样的摄像管,一支目镜和另一支目镜仅交换来查看标本(理想状况是使用切成薄片的平面标本)。两个目镜无须额外调整就可提供清晰的影像,这也显示它们的共焦距离相同。Leica的目镜观测影像的边缘是非常清晰,但相机目镜(Field Number 22)可呈现平面的清晰影像,且在Field Number 18的观测中心区域也不会有边缘失焦的问题(图 7)。虽然当影像被放大至观测区域的晕映消失,但仍可在照片的左上方和右上方看见清晰的边缘柔化状况出现(图 8)。除此以外,清晰的影像中心在整个完整影像架构的准确呈现下格外引人注目。


除了一般的光学显微镜外,相机和目镜的结合也可轻易地运用在立体显微镜上(在Leica 立体显微镜M 80上进行测试)。在这种倍率较低的显微镜下进行操作,相机目镜的边缘聚焦在可见的边缘周围是非常不明显的(图 9)。
再者,相应的三目镜设计虽在设计时考虑到其他目镜的搭配,但相机和目镜的结合,并安装到C-Mount 接口会产生问题,而这个问题就发生在Leica DMLB。这款显微镜的影像接管搭配特制的投影目镜时,无法与一般目镜交替使用,所以当安装在显微镜的C-Mount接口时,相机和目镜的结合也无法提供可使用的影像。

与其他目镜结合的影像
在移除内建的相机目镜后,相机和摄像管可以被安装在其他附有相同尺寸(例如:直径)目镜的显微镜上。相机就是藉由这种简易方式被安装在原搭载10倍Leitz Periplan 大视野高眼点目镜的Leitz HM-Lux 3教学显微镜上(Field Number 18),而摄像管也可与Leitz的橡胶目镜护圈准确接合。从图 10影像显示,即使是一台简易的教学显微镜,利用前述方法也可制造出效果不错的位相差影像。

甚至更老的光学显微镜(如:带有铸铁底座,镜子和如Studio-Mikroskop和Enuro-Optik等搭载较低field number的物镜)和装置非标准化目镜和较小直径物镜的显微镜(例如:Bresser Biolux AL在几年前曾被放置在杂货店贩卖。)也适用:实时观测影像、影片或彩色影像都可在这些显微镜上实现。这些有较小孔径的显微镜不时须以纸卷固定(文章稍早曾提及),所以摄像管可以稳固地与管头接合,且不会产生轴向偏移或倾斜,而所需做地仅需将纸张适当地裁剪成条状,并以胶带将纸卷固定即可。
原则上,如果原目镜的直径大过于摄像管内部直径,相机可以直接放置在显微镜本身的目镜镜片,目镜也不会滑进摄像管。最好的情况是相机机身可以直接搭载在目镜镜面的安装凸缘上,而这个方法在Leica DMLB进行测试时也可行。一个人将在Leica目镜上的相机固定,而另一个人操作计算机和采集影像。如此一来,相机目镜和Leica原有目镜的差别就可一目了然。当使用Leica原有目镜,并额外加强影像清晰度和影像对比后,相机目镜所产生的边缘柔化就不在是问题。(图 11)。
