TIS顯微相機助力於病理影像數位化
由 TIS Marketing 於 2021年1月14日 發表。
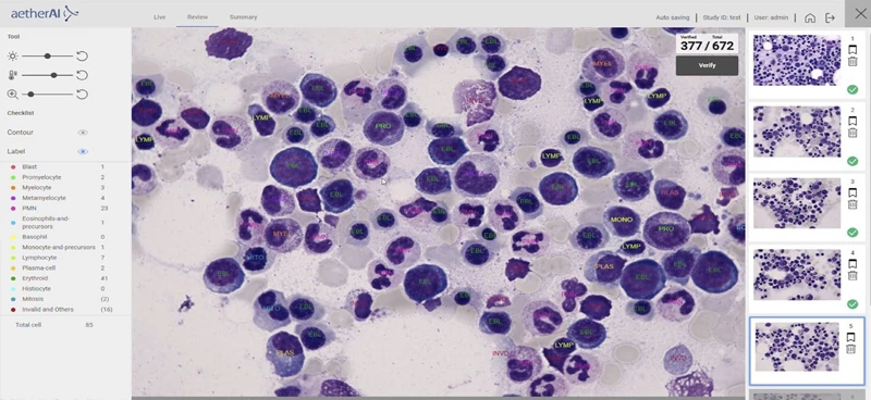
對於許多嚴重的血液疾病,例如白血病、多發性骨髓瘤和淋巴瘤,骨髓抹片中血液細胞的分類計數是診斷血液疾病的首要關鍵任務。 當前,這些觀察骨髓細胞型態評估仍由病理學家與訓練有素的醫檢師以手動分類計數方式進行,然而,執行這些技術的人員需要高度的專注力與精確度。 諸如壓力、疲勞、分心和訓練水準等"人為因素",容易造成檢測的錯誤解讀,或者科學家們稱之為 "操作員之間的操作差異"。 為了提高血液醫療診斷的準確性和效率,aetherAI雲象科技開發了Microscope x Hema一個完整的數位病理系統,其藉由The Imaging Source的 USB 3.0 彩色顯微相機 產生數位影像,並採用深度學習技術進行處理。
藉由深度學習進行細胞分類
為了完善地訓練系統的卷積神經網路(CNN),aetherAI與台大醫院合作開發了世界首創用於骨髓抹片的分類計數AI模型。 此模型由500,000顆細胞的骨髓抹片樣本訓練而建立成一巨大的標註資料庫。 Microscope x Hema's 的嵌入式解決方案包括支援AI顯微鏡控制軟體、用於分類計數的AI模型以及支援AI推論的專用硬體。 當使用標準光學顯微鏡採集的細胞影像,往往因為含帶著複雜的背景而不利於有效地細胞分析,而影像品質也會受到模糊強度、雜訊等因素的影響,在不同成像條件亦會導致影像亮度和色調的差異。 具備2000萬畫素的 DFK 33UX183 顯微相機 以高靈敏度的CMOS感測器,提供低噪聲影像(高信噪比),其影像預處理可以濾除視覺雜訊,從而增強影像邊緣與輪廓,並突出細節、減少影像模糊。Microscope x Hema 的影像演算法從影像中提取特徵,接著,設置參數例如形狀、輪廓、不規則碎片、顏色和紋理質地等。 一旦系統對樣本中的細胞進行分類和計數,工作流程即告完成。
藉由減輕醫療保健專業人員的負擔,aetherAI 致力於 "提供數位病理和人工智慧診斷支援的解決方案",進而提高醫療診斷品質。 公司創始人Joe Yeh博士表示:" AI革命將實現數位醫學影像的終極價值,並將醫療保健推向新的高度。"

