顯微鏡用相機:實際測試(顯示在螢幕和目鏡的影像)
由 TIS Marketing 於 2016年8月19日 發表。
本篇原稿發佈於 2016 年 1 月的 Mikroskopie,這篇文章是由 J. Piper 和 M. Torzewski撰寫。 原文是由 Ken Liao 分篇翻譯成中文: 1、 2、 3、 4、 5、 6、 7、 8、 9、 10 和 11。
實際測試
螢幕影像
根據所有測試結果顯示,適當地調整相機和裝置在雙目觀察管目鏡頭上的目鏡(目鏡筒徑:30mm)可以確保每座顯微鏡可將可用的,沒有暈影的,且均匀照明的影像顯示在螢幕上。在進行演示的情況時,分辨率的最佳選擇是IC Capture或 IC Fullscreen Presenter以30 FPS提供平滑且完整的影像,且正常速度下調整 stage 也不會產生模糊影像。在縮放因子為1.0情況下,螢幕影像會出現圓形劃分遮住周圍影像,但如適當地調整影像焦距,就可以看到沒有暗角的完整影像產生(圖 6)。
相機目鏡影像
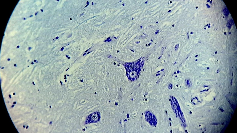
確切來說,我們測試的相機是裝在Leitz、Leica和Carl Zeiss Jena 所製造大視野顯微鏡的內建目鏡上。然而,這些顯微鏡的內建目鏡所產生影像的轮廓清晰度都不是很好。值得注意的是當無限校正的平場物鏡搭配完全校正的中間圖像做測試(例如:Leica DMLB顯微鏡)時,Leica原有目鏡和相機原有目鏡的平面差別就可以直接看出:用同樣的攝像管,一支目鏡和另一支目鏡僅交換來查看標本(理想狀況是使用切成薄片的平面標本)。兩個目鏡無須額外調整就可提供清晰的影像,這也顯示它們的共焦距離相同。Leica的目鏡觀測影像的邊緣是非常清晰,但相機目鏡(Field Number 22)可呈現平面的清晰影像,且在Field Number 18的觀測中心區域也不會有邊緣失焦的問題(圖 7)。雖然當影像被放大至觀測區域的暈映消失,但仍可在照片的左上方和右上方看見清晰的邊緣柔化狀況出現(圖 8)。除此以外,清晰的影像中心在整個完整影像架構的準確呈現下格外引人注目。

除了一般的光學顯微鏡外,相機和目鏡的結合也可輕易地運用在立體顯微鏡上(在Leica 立體顯微鏡M 80上進行測試)。在這種倍率較低的顯微鏡下進行操作,相機目鏡的邊緣聚焦在可見的邊緣周圍是非常不明顯的(圖 9)。
再者,相應的三目鏡設計雖在設計時考慮到其他目鏡的搭配,但相機和目鏡的結合,並安裝到C-Mount 接口會產生問題,而這個問題就發生在Leica DMLB。這款顯微鏡的影像接管搭配特製的投影目鏡時,無法與一般目鏡交替使用,所以當安裝在顯微鏡的C-Mount接口時,相機和目鏡的結合也無法提供可使用的影像。
與其他目鏡結合的影像
在移除內建的相機目鏡後,相機和攝像管可以被安裝在其他附有相同尺寸(例如:直徑)目鏡的顯微鏡上。相機就是藉由這種簡易方式被安裝在原搭載10倍Leitz Periplan 大視野高眼點目鏡的Leitz HM-Lux 3教學顯微鏡上(Field Number 18),而攝像管也可與Leitz的橡膠目鏡護圈準確接合。從圖 10影像顯示,即使是一台簡易的教學顯微鏡,利用前述方法也可製造出效果不錯的位相差影像。
甚至更老的光學顯微鏡(如:帶有鑄鐵底座,鏡子和如Studio-Mikroskop和Enuro-Optik等搭載較低field number的物鏡)和裝置非標準化目鏡和較小直徑物鏡的顯微鏡(例如:Bresser Biolux AL在幾年前曾被放置在雜貨店販賣。)也適用:實時觀測影像、影片或彩色影像都可在這些顯微鏡上實現。這些有較小孔徑的顯微鏡不時須以紙捲固定(文章稍早曾提及),所以攝像管可以穩固地與管頭接合,且不會產生軸向偏移或傾斜,而所需做地僅需將紙張適當地裁剪成條狀,並以膠帶將紙捲固定即可。
原則上,如果原目鏡的直徑大過於攝像管內部直徑,相機可以直接放置在顯微鏡本身的目鏡鏡片,目鏡也不會滑進攝像管。最好的情況是相機機身可以直接搭載在目鏡鏡面的安裝凸緣上,而這個方法在Leica DMLB進行測試時也可行。一個人將在Leica目鏡上的相機固定,而另一個人操作電腦和採集影像。如此一來,相機目鏡和Leica原有目鏡的差別就可一目了然。當使用Leica原有目鏡,並額外加強影像清晰度和影像對比後,相機目鏡所產生的邊緣柔化就不在是問題。(圖 11)。
