The Imaging Source's Microscopy Cameras Deliver Images for Digital Pathology
Published on January 14, 2021 by TIS Marketing.
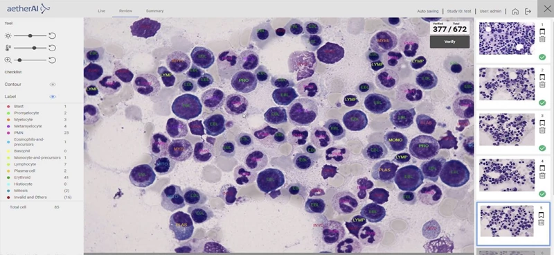
For a number of serious blood diseases such as leukemia, multiple myeloma and lymphoma, differential counting of blood cells in bone marrow smears is the diagnostic gold-standard. Currently, these morphological assessments are still performed manually by pathologists and other highly-trained lab personnel and demand a great deal of concentration and precision from the technicians performing them. "Human factors" such as stress, fatigue, distraction, and level of training can make the interpretation of such tests prone to error, or as the scientists themselves call it "inter-operator variation". To improve accuracy and efficiency in diagnostic hematology, aetherAI has developed Microscope x Hema--a complete digital pathology system which uses The Imaging Source's USB 3.0 color microscopy cameras to create digital images which are then processed using Deep Learning techniques.

Cell Classification via Deep Learning
In order to properly train the system's CNNs, the company worked with the National Taiwan University Hospital to develop the world's first differential-counting AI model for bone marrow smears. The model is trained on a comprehensive image dataset of 500,000 annotated bone marrow samples. Microscope x Hema's embedded solution includes AI-powered microscope control software, AI model for differential counting and dedicated hardware to support AI inferencing. Images made using standard optical microscopes often contain complex backgrounds which can negatively impact efficient cell analysis. The 20 MP DFK 33UX183 microscope cameras' high-sensitivity CMOS sensor delivers low-noise images (high signal-to-noise ratio). The cameras' image pre-processing reduces any residual noise to enhance the edges and contours of the image, highlighting the details and reducing image blur. Microscope x Hema's image algorithms extract features from the images and then set parameters such as shape, contour, irregular fragments, color and texture. The workflow is complete once the system has classified and counted the cells in the sample.

By easing the burden on healthcare professionals, aetherAI aims to improve the quality of medical diagnostics by "providing solutions for digital pathology and AI-powered diagnostic support." Company founder, Dr. Joe Yeh, stated "the AI revolution will realize the ultimate value of digital medical images and bring healthcare to the next level."
